実際の治療例
当院での実際の治療例をいくつかご紹介します。
不正咬合の代表的なものとして、叢生、上顎前突、反対咬合、開咬、過蓋咬合などがあります。
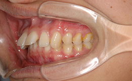
叢生(がたつき)
-
治療前
-
治療後
-
治療前
-
治療後
主訴|がたつき・口がつむれない
初診時年齢8歳
非抜歯にて治療
一期治療1年+Ⅱ期治療1年6ヶ月
-
治療前
-
治療後
-
治療前
-
治療後
主訴|ガタガタ
初診時年齢11歳
非抜歯にて治療
全期治療2年
-
治療前
-
治療後
-
治療前
-
治療後
主訴|乱ぐい歯
初診時年齢15歳
抜歯(4歯)にて治療
全期治療2年4ヶ月
-
治療前
-
治療後
-
治療前
-
治療後
主訴|ガタガタで磨きにくい
初診時年齢51歳
抜歯(2歯)にて治療
全期治療3年1ヶ月
上顎前突
-
治療前
-
治療後
-
治療前
-
治療後
主訴|上の歯が出ている
初診時年齢13歳
非抜歯にて治療
Ⅰ期治療1年5か月+Ⅱ期治療1年1ヶ月
-
治療前
-
治療後
-
治療前
-
治療後
主訴|出っ歯・口がつむれない
初診時年齢28歳
非抜歯にて治療
全期治療2年11か月
下顎前突
-
治療前
-
治療後
-
治療前
-
治療後
主訴|受け口
初診時年齢11歳
非抜歯・外科手術せず治療
Ⅰ期治療1年8か月+Ⅱ期治療1年2ヶ月
-
治療前
-
治療後
-
治療前
-
治療後
主訴|下の顎が出ている
初診時年齢42歳
非抜歯・外科手術せず治療
全期治療
開咬
-
治療前
-
治療後
-
治療前
-
治療後
主訴|前歯が咬み合わない
初診時年齢12歳
非抜歯・舌トレーニング併用
全期治療1年9ヶ月
-
治療前
-
治療後
-
治療前
-
治療後
主訴|食べにくい・顎関節症
初診時年齢29歳
抜歯・舌トレーニング併用
全期治療2年5ヶ月
過蓋咬合
-
治療前
-
治療後
-
治療前
-
治療後
主訴|歯ぐきが気になる・咬み合わせが悪い
初診時年齢43歳
非抜歯・ユーティリティアーチによる前歯コントロール
全期治療2年11ヶ月
-
治療前
-
治療後
-
治療前
-
治療後
主訴|歯茎を咬む・歯の隙間
初診時年齢8歳
非抜歯・バイオネーター併用
Ⅰ期治療2年+Ⅱ期治療1年3ヶ月


